Skip to main content

Public Policy

By Laura Lovett | 03:51 pm | September 27, 2021
This comes just a month after news broke Nanox was set to acquire Zebra Medical Vision. 
By Emily Addy and Victor Lanio | 05:50 pm | September 23, 2021
Authors from Flare Capital discuss why policy matters for health innovation.
By Emily Olsen | 02:48 pm | September 23, 2021
The Express Scripts app will now allow users to provide proof of COVID-19 vaccination if they received their shot at a pharmacy.
By Mallory Hackett | 11:56 am | September 23, 2021
The company’s stock took a nosedive yesterday after it filed an SEC document.  
By Emily Olsen | 02:35 pm | September 22, 2021
The new clearance expands its insulin dosing support to bolus and premixed insulin titration for Type 2 diabetes.
By Mallory Hackett | 12:51 pm | September 22, 2021
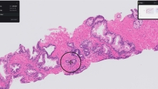
Paige Prostate analyzes digitized biopsy slides and identifies areas that could be cancerous for the pathologist to review further.
By Emily Olsen | 02:06 pm | September 10, 2021
Telehealth made up 4.5% of medical claim lines in June, falling from 5% in May.
By Emily Olsen | 01:26 pm | September 07, 2021
Also: Solv wraps up a $45 million Series C funding round, and Singapore-based Homage secures $30 million.
By Adam Ang | 05:33 am | September 06, 2021
The company develops AI tools to analyse chest x-rays and breast mammography.
By Rachel McArthur | 12:44 pm | August 31, 2021
All students over the age of 12 and school staff members must be fully vaccinated in order to be allowed to attend school, the Kingdom’s Ministry of Education said.